
-
智齿一定要拔吗
智齿是指人类口腔内,牙槽骨上里面的上下左右各一的四颗第三磨牙。因为这四颗第三磨牙正好在20岁左右时开始萌出。那么智齿一定要拔除吗?康贝佳口腔介绍智齿的生长不仅没... [详情]

-
如何预防蛀牙出现呢
随着市民生活水平的提高, 食物中糖的是必不可少的,由于糖摄入太多,导致许多患者被蛀牙困扰,特别是儿童乳牙特别明显,随着人口的老龄化,老年人的蛀牙在逐渐增长,蛀... [详情]

-
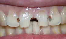
蛀牙导致牙疼该怎么办?
蛀牙导致牙疼该怎么办?沈阳康贝佳口腔医生表示,蛀牙任其发展会导致牙髓炎,若不治疗将导致牙龈萎缩、牙齿松动甚至脱落。随着口腔保健技术的进步,修复蛀牙的方式有很多... [详情]

通常情况下,我们对除了门牙之外的牙齿缺失都更多的采取忽略的态度,在对牙齿的要求上,我们更多停留在美观和功能的层面上,其实我们还应该考虑健康的层面。那么我们是否存在牙齿病症呢?


360°气动洁牙
一次洗牙,清洁、保健、美齿只需30分钟

-
适应症:
黄黑牙、色素牙、牙结石、咖啡牙等
- 3M美国纳米复合树脂补牙
- 填补"漏洞" 让牙齿更健康更兼顾
- 色泽逼真
- 恢复牙齿自然外形,色泽尤其逼真、有质感。
- 长久性佳
- 独有纳米技术复合树脂,将牙齿的抛光和长久性优秀结合。
- 较强强度
- 具有超出预期的强度和长久度,具抗压性和抗张性较好。
- 温和舒适
- 于自然牙一样,比传统修复技术更舒适,便于日常护理。

-
适应症:
轻、中、重度龋齿,适应范围包括窕封闭,大小类龋洞等填充和修复
- 康贝佳轻柔舒适刮治
- 康贝佳轻柔舒适刮治

-
适应症:
重度牙周炎、牙结石、牙菌斑

























